
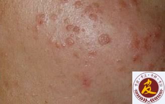
病毒性扁平疣是由人乳头瘤病毒引起的皮肤病,传染性强。通常在不知不觉的情况下发病,容易被忽视。但是病毒的传染性比较强,很容易自身传染,甚至传染给家人朋友,所以防止扁平尤非常重要。那么防治的方法有哪些呢?
病毒性扁平疣是日常生活中常见的传染性皮肤病,是由人乳头瘤病毒引起的。由于发病比较突然,患者很难及时发现。但是病毒性扁平疣具有较强的传染性,很容易自身传染或者传染给他人。因此,防治就显得尤为重要了。病毒性扁平疣的常用防治措施有四种:

防治方法一提高卫生意识,防止直接或间接传染。平时应该加强对病毒性扁平疣的医疗卫生知识普及,让大大众对这种疾病有更好的了解。教育大众养成良好的卫生习惯,不直接接触患处,卫生用品专人专用,避免自身交叉感染,也避免使用扁平疣患者的物品。
防治方法二避免外伤及皮肤破损,有了伤口要及时妥善处理。有了外伤,粘膜受损后,皮肤抵抗病毒的能力自然就下降了,就极易被病毒感染。所以平时应该多注意,尽量避免外伤。如果出现皮肤破损,应该及时妥善处理,不给病毒可乘之机。
防治方法三已经患有病毒性扁平疣的患者应该避免用手抓挠。搔挠会加重病情,造成二次感染,把病毒带到身体的其他部分。患病后应该到正规的医疗机构接受治疗,遵医嘱。
防治方法四增强自身免疫力,提高身体素质。从自身来看,免疫力低下是很重要的原因。盔甲变弱了,自然就容易被攻破。所以要想避免疾病的侵扰,增强自身免疫力,提高身体素质是根本之道。健康的饮食和适当的体育锻炼会有很大的益处。
比较好的治疗是预防。病毒性扁平疣的治疗周期比较长,并且容易复发,所以做好防治工作十分必要。积极的进行预防,生活中多注意卫生,养成良好的卫生习惯,健康饮食,锻炼身体,这种疾病还是可以避免的。

医院地址:海口市美兰区海府路97号
就诊时间:周一至周日 8:00-21:00
